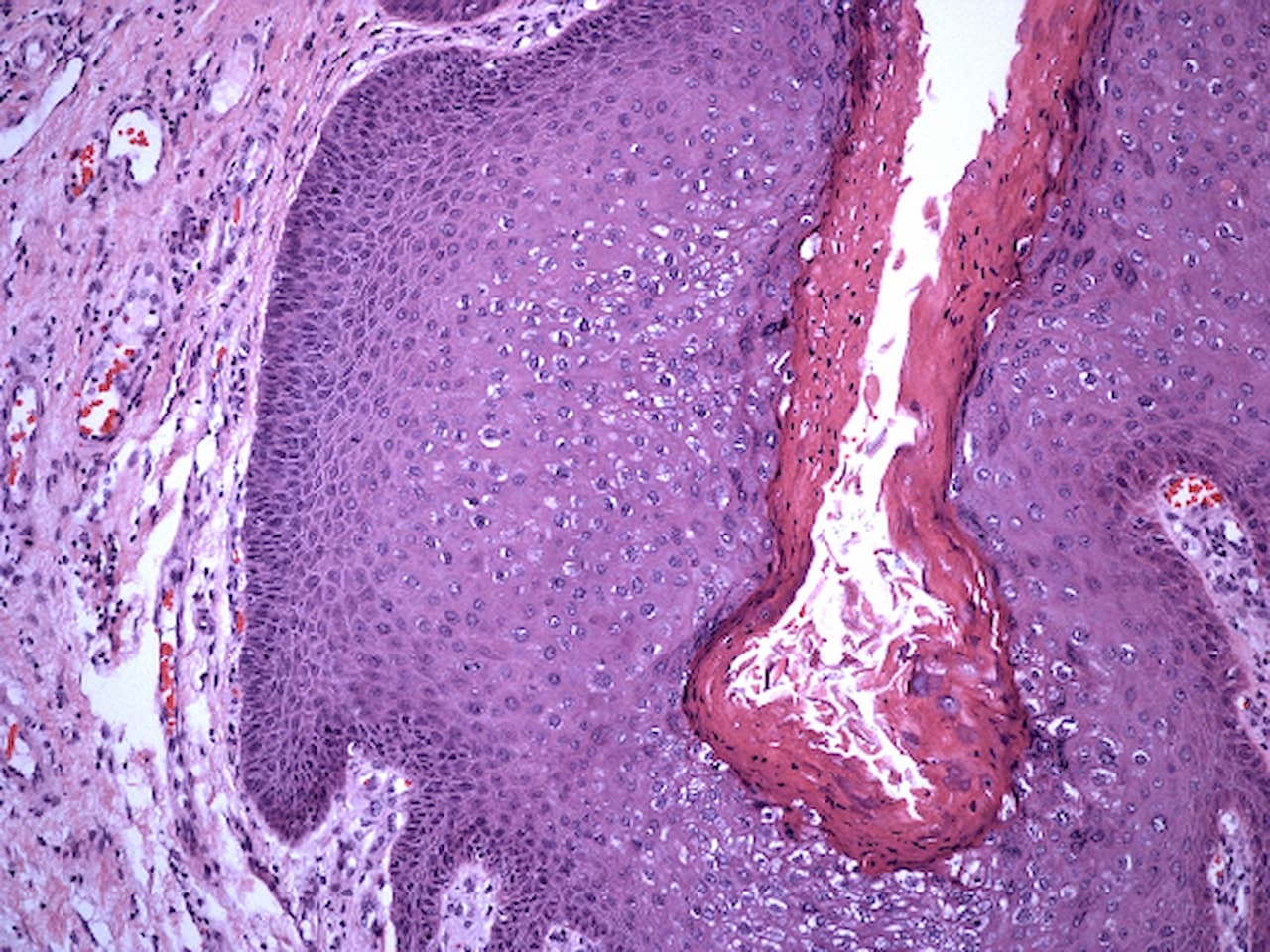
사마귀란?
사마귀는 작은 콜리 플라워와 비슷한 거친 질감을 가지고 있는 작고 단단한 물집입니다. 참고로 인유두종 바이러스(HPV)는 피부의 어느 부위에서나 자랄 수 있는 사마귀를 유발하며, 일부 HPV 유형은 악성을 일으키기도 하지만 대부분의 사마귀는 몇 년 정도면 자연적으로 없어집니다.

다양한 유형의 사마귀
일반적인 사마귀는 손가락과 발가락에서 발생하는데 거칠고 단단하게 자랍니다. 발바닥 사마귀는 주로 발바닥, 발 뒤꿈치 및 발가락에서 발생합니다. 이것은 흰색의 단단한 조직으로 둘러쌓여 있는 어두운 점으로 안쪽으로 자랍니다. 편평한 사마귀는 태양에 노출 된 피부 표면에 편평한 분홍빛 또는 황갈색 반점으로 자랍니다. 필모꼴 사마귀는 눈꺼풀, 코, 목 및 겨드랑이의 피부색 플랩 또는 길쭉한 꼬리표 같은 모양입니다. 말초 사마귀는 발가락과 손가락 주변이나 아래에서 자라며 올라오면서 손톱 성장을 방해 할 수 있습니다. 생식기 사마귀는 분홍색 또는 붉은 빛을 띠며 콜리 플라워와 비슷한 형태로 3 ~ 4 개의 사마귀 군집을 형성합니다.
사마귀는 아픈가요?
대부분의 사마귀는 아프지 않지만 만성 사마귀는 매우 고통 스러울 수 있습니다. 발바닥 사마귀는 걸을 때 발의 불편 함을 유발할 수 있으며 생식기 사마귀는 경미한 통증, 가려움증 및 약간의 출혈을 유발할 수 있습니다.
사마귀의 전염성
사마귀를 유발하는 바이러스는 전염성이 있으며 특히 피부가 손상되거나 절단 된 경우, 직접 피부 대 피부 접촉에 의해 가장 자주 발생합니다. 피부의 다른 부위에 바이러스를 퍼뜨릴 수 있습니다. 또한 체육관 매트 또는 욕실 바닥과 같은 오염 된 표면에서 간접적으로 전염될 수 있습니다.

사마귀의 잠복기
생식기 사마귀의 예상 잠복기는 2 주에서 8 개월까지 다양합니다. 일부 사마귀는 수년간 휴면 상태로 남아 있습니다.
사마귀의 치료 시기
대부분의 사람들은 사마귀를 치료하기 위해 큰 의료적 행위가 필요한 것은 아닙니다. 미용적인 이유로 제거하기를 원하는 경우가 많지만 그러나 일부는 암이 될 수 있으므로 의료진은 생식기 사마귀를 검사해야 합니다.
사마귀 없애는 방법
사람들은 사마귀를 없애기 위해 살리실산제제를 별도의 처방전 없이 구입할 수 있으며 치료율은 70 ~ 80% 정도로 알려져 있습니다.
전문적인 사마귀 치료법
살리실산과 같은 국소 제제가 효과적이며 podophyllin(Podocon-25), imiquimod(Aldara, Zyclara), cidofovir(Vistide) 등과 같은 다른 제제들도 사마귀를 제거하는데 효과적입니다. 의료진은 지속적인 사마귀에 대해 병변내 주사와 외과 적 제거 (절제, 소작, 레이저 또는 냉동 및 / 또는 전기 수술)를 고려할 수 있습니다. 시메티딘, 레티노이드 및 IV 시도포비르와 같은 전신 약물도 있습니다. 참고로 HPV 백신은 생식기 사마귀의 약 90 % 형성을 예방할 수 있습니다.