악성 림프종이란?
악성 림프종은 혈액 암의 일종으로, 백혈구의 일종인 림프구가 암으로 변화한 것을 말합니다. 림프절이나 림프관, 비장, 흉선, 편도 등 림프 조직에서 발생할 수 있습니다.
림프종의 종류를 크게 나누면 종양 내에 대형 종양 세포가 발견되는 '호지킨 림프종'과 그것이 보이지 않는 '비호지킨 림프종'의 두 종류가 있고, 그 안에서 더 종류가 세분화됩니다.
B 세포라고 불리는 림프구에서 유래한 호지킨 림프종은 유전이 관여하고 있다고 하며, 20~30대 젊은 환자가 많은 편입니다. 한편 악성도가 높은 비호지킨 림프종은 고령의 환자가 많은 편이며 바이러스 감염 등이 원인이라고 알려져 있습니다.
악성 림프종 원인
건강한 상태에서는 림프구 중에서 암세포가 태어나더라도 그것을 면역 세포가 배제하므로 암이 되지는 않습니다. 하지만 면역력이 떨어지면 림프구 중에서 암 세포가 과잉으로 늘어 악성 림프종이 발병한다고 생각되고 있습니다.
다만 그 자세한 메커니즘은 아직 확실히 확인되지는 않았습니다. 세포 내 유전자가 변이 중 암 유전자가 활성화한 것이나, 바이러스나 세균에 감염된 것 등이 발병에 관계하고 있을 가능성이 높다고 알려져 있습니다.
악성 림프종의 발병과 관련된 바이러스는 에이즈를 일으키는 HIV 바이러스와 위암의 주범인 헬리코박터 파일로리균(파일로리균), C형 간염 바이러스, 인간 T세포 백혈병 바이러스, EB 바이러스 등입니다. 또 면역 기능이 약한 사람이 걸리는 경우가 많습니다.
그밖에 제초제, 살충제 등의 농약이나 유기 용제, 살충제, 동물성 단백질과 지방의 과잉 섭취도 발생에 관계하고 있을 가능성이 있습니다.
악성 림프종 증상
초기에는 목과 겨드랑이, 사타구니 등 림프절이 많은 부분에서 통증이 없는 응어리가 나타나는 것이 특징입니다. 드물게 통증이 있지만 대부분의 경우 통증을 수반하지 않습니다.
악성 림프종 증상이 진행되면 발열이나 전신의 권태감, 체중 감소, 붉어지는 피부, 부종, 가려움증, 구토 등 여러 증세가 나오게 됩니다. 또 응어리가 기도나 혈관, 척추 등을 압박하면 기도 폐색, 혈류 장애, 마비 등을 일으키기도 합니다.
또 악성 림프종이 다른 장기나 기관으로 퍼져나가면, 각각 전이된 부분 특유의 증상이 나타나게 됩니다. 예를 들어 폐와 기도 등 흉부에서는 호흡 곤란과 기도 폐색, 기침이 나타나고 간에서는 황달이나 복수가 뼈에서는 뼈 통증 등이 일어날 수 있습니다.
검사 및 진단
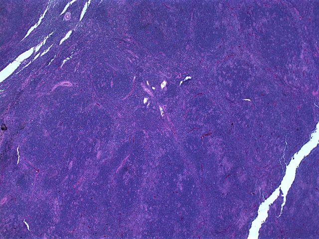
우선은 증상이나 전력 등에 대해서 문진 하게 되고 부어 오른 림프절을 확인하기 위해서 촉진도 실시합니다. 혈액 검사나 소변 검사 외, 림프절을 채취한 후 현미경으로 관찰하는 병리 검사, 골수 안에 림프종 세포가 있는지를 확인하는 골수 검사, 뇌 척수액 검사 등 검사도 실시합니다.
진단이 확정된 뒤 림프종이 체내에 확산되고 있는지를 확인하거나 치료법을 결정하기 위해서 CT나 MRI 등의 화상 진단 검사와 PET 검사(양전자 방사 단층 촬영)등을 실시합니다. 악성 림프종이 퍼진 경우에는 전이 대상 기관에 맞추어 내시경 검사나 뇌 척수액 검사 등을 하게 됩니다. 바이러스 감염과 합병증이 일어나기 쉽기 때문에 감염의 유무를 조사하기도 합니다.

악성 림프종 치료
주요 치료법은 화학 요법과 방사선 치료이지만, 악성 림프종의 종류와 진행 정도에 따른 치료법이 다릅니다. 호지킨 림프종에서는 항암제 등을 이용하는 화학 요법과 방사선 치료를 실시하며, 비호지킨 림프종은 화학 요법을 중심으로 악성 림프종 치료가 진행됩니다.
치료는 적절한 병리 진단이나 전신 상태를 고려하고 결정하게 됩니다. 천천히 진행하는 병형이기 때문에 몇 년 동안 증상이 없고 부위의 크기도 거의 변하지 않는 경우는 경과 관찰만 하고 특별한 치료를 하지 않을 수도 있습니다.
입원 또는 통원 치료를 통해 실시되는 화학 요법에서는 항암제나 암세포만 골라서 공격하는 분자 표적 약을 사용합니다. 약은 온몸에 도달하기 때문에 검사에서는 몰랐던 발생 부위 및 장기에 대한 효과도 기대할 수 있습니다.
방사선 치료는 병소가 한 부분일 때 단독 또는 화학 요법과 병용해서 시행합니다. 화학 요법이나 방사선 요법으로 몸에 타격이 클 경우에는 미리 채취 해 둔 조혈 줄기 세포를 이식할 수도 있습니다.
예방 및 주의사항
뚜렷한 악성 림프종 원인을 모르기 때문에 확실한 예방법은 없습니다. 그렇기 때문에 정기적으로 건강 진단을 받고 조기에 발견하는 것이 중요합니다. 또 겨드랑이나 목의 임파선이 부었을 때는 방치하지 말고 빨리 병원에서 진찰을 받아보시기 바랍니다.
악성 림프종은 재발하기 쉽습니다. 원래 걸렸던 병형에서 다른 병형으로 바뀌기어서 재발하기도 합니다. 때문에 병증이 경감한 뒤에도 3 ~ 6개월마다 진찰을 받아 재발이나 몸의 상태를 조사할 필요가 있습니다. 상황에 따라서 궁금한 증상이 있을 때는 병원 방문 날까지 기다리지 말고 즉시 진찰을 받아보시기 바랍니다.