턱관절 장애란?
턱관절 장애는 관절이나 저작근(음식물을 씹는 작용을 하는 안면 근육) 이상 때문에 일어나며 턱을 움직이면 턱관절에서 소리가 나거나, 턱관절과 턱관절 주변 근육에 통증이 느껴지는 등의 여러 증상이 나오는 것이 특징입니다.
턱관절은 귀 앞, 좌우에 있으며 입을 벌리거나 닫거나 할 때에 움직이는 부분입니다. 머리뼈의 측두골과 아래턱뼈의 관절 돌기에서 턱관절을 이루는 부분인 하악두가 관절 원판을 통해서 구성되어 있는 관절로 매우 복잡한 구조를 하고 있습니다.
자연 치유되는 경우도 있지만, 턱관절 주위의 통증뿐 아니라 두통이랑 어깨 결림이 지속되거나 턱을 정상적으로 열지 못하기 때문에 식사와 대화를 하는 것도 어려울 수 있습니다.
턱관절 장애는 저작근육 장애, 턱관절 통증 장애, 턱관절 원판 장애, 변형성 턱관절 장애 등 4 가지로 분류되고 있습니다.
턱관절 장애 통계 및 실태
통계에 따르면 입을 열거나 닫을 때 턱 관절에서 소리가 나는 사람이 전체의 약 15.0% 정도, 이때 턱관절 통증이 있는 사람은 전체의 약 3.3% 라고 알려져 있습니다.
턱관절 장애는 자연 치유되는 경우도 있기 때문에 진찰이나 치료를 받지 않는 환자도 많이 있지만 치과 질환 중에는 충치나 치주염에 이어 환자 수가 많은 질환 중 하나입니다. 턱관절 장애는 남성과 여성 중에서 특히 여성에게서 발병하는 경우가 많으며 연령대는 20 ~ 30대에서 발병이 많은 편입니다.




턱관절 장애 증상
턱관절 장애는 하나의 증세뿐 아니라 여러 증상이 나오는 것이 특징인데, 대표적인 3대 증상은 '턱관절 통증, '잡음', '개구장애'입니다.
주요 증상은 턱을 열고 닫을 때 턱관절이 아프거나 측두근, 교근 등 턱을 움직이기 위해서 필요한 턱 주변 근육에서 통증이 느껴지기도 합니다. 턱관절 잡음 증상이란 턱을 열고 닫을 때 딱딱거리는 소리가 나는 것으로 소리뿐 아니라 턱관절 통증을 동반합니다. 개구장애는 턱관절에 마치 무언가가 걸린 것처럼 움직이지 않고 입을 크게 벌리지 못하거나 입을 열다가 턱이 비뚤어지기도 합니다.
턱관절 통증 원인
턱관절 통증은 여러 원인이 겹쳐서 발병한다고 알려져 있습니다. 턱관절 뼈의 이상이나 치아교합의 이상뿐만 아니라 턱관절에 필요 이상의 스트레스를 주는 행동이 턱관절 장애의 원인이 됩니다.
이 부분은 일상생활과도 크게 관련이 있는데 손으로 턱을 괴거나, 손톱을 물어뜯거나, 껌을 자주 씹거나, 단단한 음식을 좋아하는 것과 같은 무심코 하는 행동이 턱관절에 부담을 줍니다.
특히 엎드린 자세로 자거나, 취침 중에 이를 악물거나, 이를 가는 등 의식이 없는 사이에 턱관절에 부담을 주고 있는 경우도 있습니다. 이밖에도 이를 악물게 되는 힘을 이용하는 스포츠나 관악기의 연주 등도 턱관절 장애의 원인이 될 수 있습니다.




턱관절 장애 검사 및 진료
턱관절 장애 검사는 일반 치과나 구강외과에서 할 수 있습니다. 대학 병원 등에서는 턱관절 질환을 전문으로 진찰하는 과도 있습니다. 우선은 단골 치과를 통해서 진찰을 받고 원인에 따라서 전문과를 소개받으면 원활하게 치료가 진행됩니다.
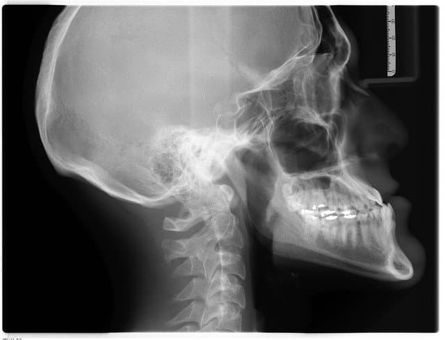
턱관절 장애로 의심되는 증상이 나온 경우에는 가급적 빨리 진찰을 받아야 합니다. 진찰은 사전에 턱관절 장애와 관련된 생활 습관에 대한 설문에 응답하는 문진으로 시작됩니다. 그다음에 턱관절과 주변 근육의 촉진, 턱 운동 검사, X레이 촬영을 합니다. 또 필요에 따라서 CT나 MRI 검사, 치아교합 상태를 조사하고 턱관절의 상태, 증상의 원인을 규명합니다.
턱관절 통증 치료 방법 및 치료 기간
턱관절 통증의 원인에 따라서 치료법은 다르지만 보존치료가 가장 일반적입니다. 원인이 되는 일상생활에서의 버릇을 고치는 행동 요법, 턱관절의 부담을 줄이고 올바른 턱의 위치로 유도하는 교합 안정장치를 장착하는 스프린트 치료 등이 있습니다.
이외에도 턱관절 주위 근육의 마사지나 개구 훈련 등의 물리치료, 급성기일 경우 진통제와 항염증제, 근육의 긴장을 풀어주는 약을 사용하는 약물치료도 할 수 있습니다.
보존치료를 해도 개선이 보이지 않을 경우에는 외과적 치료를 받기도 합니다.턱관절 장애는 시간이 지나면서 증상을 치유하는 질환으로 개인 차이는 있지만 올바른 치료와 생활 습관이 개선되면 2주에서 1개월 정도면 턱관절 통증은 호전됩니다.
턱관절 통증 치료 전망과 예후
턱관절 통증의 치료는 완치가 아니라 일상생활에 지장이 없는 정도로 증상의 개선을 목적으로 하고 있습니다. 턱관절 장애는 악화시키는 인자가 많아서 재발이 많은 질환이기도 합니다.
연령에 따라 주의해야 할 생활환경이 다르며 증상이 일시적으로 개선되더라도 방심하지 않고 재발되지 않도록 예방에 힘써야 합니다. 턱관절에 부담을 주지 않도록 하는 습관을 들이도록 해야 하며 정기적으로 치과에 방문해서 스프린트 조정을 하는 등 악화시키지 않도록 하는 것이 중요합니다.