간암
간암은 간에 생기는 악성 종양입니다. 다른 장기에서 전이되어 생기는 '전이성 간암'과 간에서 발생하는 '원발성 간암'이 있습니다. 대부분의 경우는 전이성으로 원발성의 4 ~ 10배라고도 알려져 있습니다.
원발성 간암 중 90%를 차지하는 것은 간 세포암입니다. 나머지는 간의 내부에 위치한 담관에서 생기는 담도암(간내 담관암), 보통 아주 어린아이들에게만 나타나는 매우 희귀한 간암인 간아세포종, 간 혈관에서 발생하는 매우 희귀한 간암인 혈관육종 등이 있습니다.
일반적으로 간암은 간 세포암을 말합니다. B형 및 C형 간염 바이러스 감염이 주원인이지만 최근에는 비 바이러스성 지방성 간 질환 환자에게서 간 암이 발병하는 사례가 늘고 있습니다. 간암은 남성에 주로 많이 나타나는 경향이 있으며 우리나라 남성의 암 사망 원인 중 3위를 차지하며, 특히 40~50대 남성의 암 사망 원인 중 1위를 차지합니다. 병에 걸리는 비율(이환율)을 연령별로 보면 남성은 45세, 여자는 55세부터 증가하는 것으로 나타났습니다.
발병 원인
B형과 C형 간염 바이러스의 감염에 의한 만성 간 질환이 간암 원인의 약 80%를 차지합니다. 그러나 최근에는 항바이러스 치료로 간염 바이러스를 체내에서 배출할 수 있게 됐기 때문에 바이러스성 간염이 원인인 간암은 점차 줄고 있는 추세입니다.
반대로 간암의 원인으로서 주목되고 있는 것이 알코올 과잉 섭취와 흡연, 비알코올성 지방간 등 입니다. 비알코올성 지방간은 비만이나 당뇨병 등에 기인하며 그중 비알코올성 지방간염(NASH)이 간경변, 간암으로 진전하는 경우가 늘고 있습니다. 두 경우 모두, 만성 염증에 의해서 간세포의 파괴와 재생이 반복되면서 그중에 유전자 돌연변이가 축적되어 암을 발생시킵니다.

간암 증상
간은 자가복구 및 자가 재생 기능을 갖추고 있어 염증이나 암이 생겨도 어느 정도 진행될 때까지는 환자가 눈치챌 수 있는 간암 증상이 거의 없습니다. 간 기능의 저하가 진행되면 식욕부진, 전신 무력감과 피로, 복부 팽만감 등 간염의 증상이 보이게 되는 경우가 많습니다.
여기서 더 진행되어 간경변에서 간암으로 진전되면 황달, 복수, 전신 가려움증, 부종, 변비나 설사 등의 다양한 간암 증상이 나타나기도 하며 간의 좌엽에 암이 생겨서 커지게 되면 명치 주변의 단단한 응어리가 잡히고 배의 압박감과 갑작스러운 강한 통증, 빈혈 등이 나타나기도 합니다. 또한 간성뇌증도 말기 간암에서 보이는 간암 증상 중 하나로 이상 행동, 의식 장애, 혼수상태를 유발할 수 있습니다.
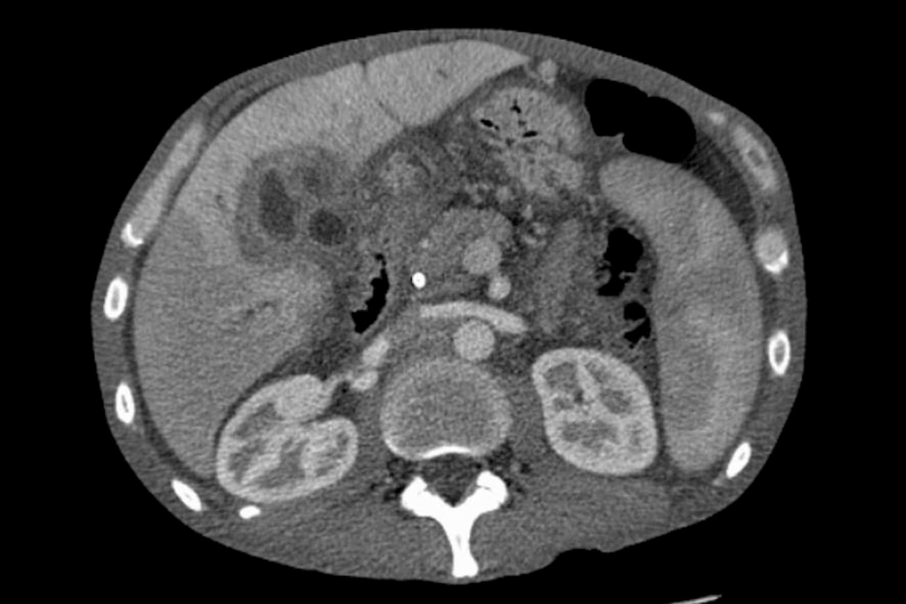
검사 및 진단
간암의 검사와 진단은 우선 의사의 문진과 진찰을 통해서 실시됩니다. 간암이 의심되는 경우 복부 초음파, CT, MRI등의 영상 진단을 중심으로 혈액 검사를 보조적으로 실시합니다.
복부 초음파 검사를 통해서 암의 크기와 수, 혈관과의 위치 관계, 확대된 정도, 간 모양이나 상태, 복수의 유무를 확인합니다. CT, MRI는 암의 유형, 전이 여부와 침윤 상황 등을 확인하며 더 확실하게 장기의 상태나 병변을 확인하기 위해 조영제를 이용하는 경우도 있습니다. 혈액 검사에서는 ALT(GPT), AST(GOT), γ-GTP 등의 값을 확인해서 간의 기능을 조사합니다.
간암 치료
절제 가능한 암은 기본적으로 수술로 제거하는 것이 권장됩니다. 수술의 경우는 암과 그 주위를 잘라내는 간 절제술, 주요 혈관이 침범되지 않았거나 다른 장기로 전이되어 있지 않은 경우 간을 모두 떼어 내고 기증자부터 간을 이식하는 간 이식 수술이 있습니다. 다만 간 기능이 얼마나 유지되고 있는지, 수술에 견딜 수 있는 컨디션 상태 등을 고려해서 판단됩니다.
다른 간암 치료 방법으로는 종양의 크기 및 개수에 따라서는 초음파를 보면서 간암에 직접 바늘을 찔러 바늘 끝에서 발생한 고주파가 주변 간암 조직의 이온을 뒤흔들고 이때 발생한 마찰열이 간암 조직을 태워 죽이는 소작 치료(RFA, 고주파 열치료법)와 피부를 통하여 종양내에 삽입한 후 99% 에탄올을 주사하여 에탄올의 화학작용으로 종양을 괴사시키는 경피적 에탄올 주입술(PEIT)등 종양을 괴사시키는 국소 세침 요법이 간암 치료에 유효한 경우도 있습니다.

이 밖에 간 세포암이 주로 간 동맥에서 산소와 영양을 공급받는 원리를 간암 치료에 응용해 간 동맥에 항암제를 주입하는 간동맥내 항암제 주입요법, 항암제와 색전 물질을 주입하고 암에 보내서 산소와 영양을 차단하는 간동맥 화학색전술(TACE)이 있습니다.
최근에는 약을 복용하는 화학 요법 등 다양한 선택 사항 중에서 가장 적합한 간암 치료법을 검토해서 시행하고 있습니다. 또한 양성자를 빠른 속도로 암이 생긴 부위에 쏘아서 암 조직을 파괴하는 양성자 방사선 치료가 검토되는 경우도 있습니다.
예방 및 주의사항
간암은 초기 증상이 거의 없기 때문에 조기발견이 어렵지만 B형과 C형 간염 바이러스 감염이 원인이 되는 경우가 많으므로 검사를 통해서 간염 바이러스에 감염되지 않았는지 확인하는 것이 최선의 예방입니다.
또한 이미 간염 바이러스에 감염된 사람이나 비알코올성 지방간염(NASH) 환자의 경우에는 간암 발생 위험이 높기 때문에 정기적으로 검사를 받아야 하며, 간염 바이러스에 감염되었을 때에는 항 바이러스 치료를 통해 염증을 억제하는 것이 간이 암을 일으키는 것을 억제할 수 있습니다.
이밖에도 알코올과 담배도 간암과 관계가 있는 것으로 알려져 있기 때문에 평소의 식생활이나 기호식품 등을 즐기는 것에서도 주의가 필요합니다. 자각 증상이 없어도 정기 검진을 통해서 간 기능의 이상을 발견했다면 빨리 병원에서 진찰을 받는 것도 예방으로 이어질 수 있습니다.